
우리 몸이 이유도 없이 계속 피곤하거나 몸이 부으면
갑상선 검사를 받아보라는 말을 주변에서 많이 하는걸 보실 수 있으실거에요.
이유없이 살이 빠지지 않거나 쪄도 그런 얘기들 많이 들으시죠?
주변을 보면 갑상선에 대한 질병을 많이 들어보셨에요!
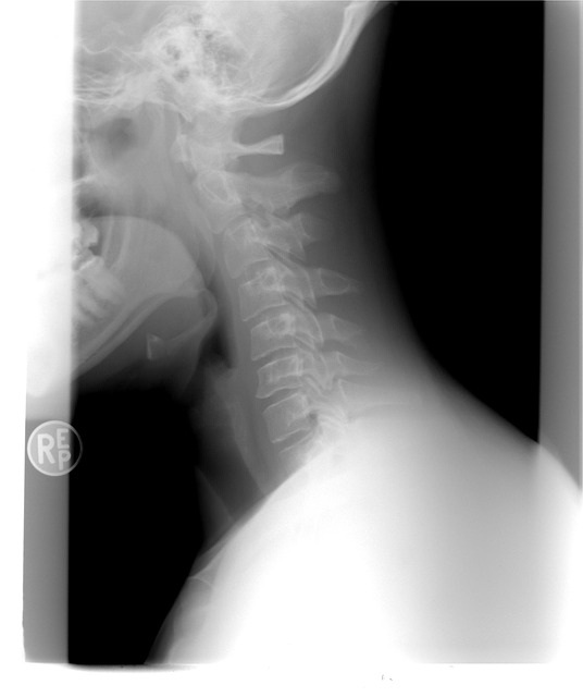
갑상선은 우리 목에 위치해 있고, 신진대사에 필요한 갑상선 호르몬을 분비하는 내분비기관입니다.

각종 대사에 필요한 호르몬을 분비하는 기관이기에 갑상선은 매우 중요합니다.
그래서 갑상선의 문제를 쉽게 넘어가선 되는데, 그 중 대표적인 증상이 갑상선이 있을 위치의 목 부음 증상입니다.
갑상선 목부음은 갑상선종으로 칭하는데
이는 크기가 커지거나 통증이 심해지면 숨을 쉬기 힘들어지며 음식을 삼키는데 불편함이 생기는 등
일상생활에서 불편함을 느낄 수 있습니다.
개개인에 따라 갑상선이 위치도 다르고 개수나 크기도 다르고
갑상선 목부음 증상도 다르게 나타난다고 합니다. 그래서 치료 방법도 매우 다양합니다.
갑상선의 증상이 경미하고 제 기능을 한다면 별도의 치료를 필요로 하지 않습니다.
하지만 갑상선이 제 기능을 하지 못하는 경우나,
크기가 너무 커져서 일상생활에서 불편함을 느끼게 되는 경우에는 치료를 진행하시면 됩니다.
갑상선 호르몬을 검사하기 위해서는 혈액을 채취하여 갑상선 자극 호르몬과 갑상선 호르몬 수치를 확인하게 됩니다.
갑상선 목부음 증상은 갑상선 호르몬이 과도하게 생산되거나 반대로 너무 적게 생산되서 생길 수 있으며
이는 갑상선 기능 항징증과 갑상선 기능 저하증으로 나눌 수 있습니다.

먼저, 갑상선 기능은 항진증은 갑상선 호르몬 과다 분비를 말합니다.
갑상선 기능 항진증의 증상은 과잉활동으로 긴장감을 자주 느끼며, 땀을 많이 흘리거나, 열이 많이 날수 있습니다.
이외에도 피로감을 느끼거나 모발 손실과 체중감소로 이어지기도 합니다.
(갑상선 기능 항진증은 그레이브스병에 의해서 발견),
심계항진이라고 하여 본인의 심장박동을 느낄 수 있습니다.
갑상선 기능 항진증의 경우 갑상선 호르몬 줄여야 합니다.
항갑상선제를 투약하여 호르몬 생산을 줄이도록 치료 합니다.
갑상선 기능 저하증은 갑상선 호르몬이 부족해서 생길 수 있습니다.
추위를 많이 타게 되고, 변비 증상이 생기며, 기억력 감퇴, 체증이 증가가하는 증상을 보입니다.
갑상선 기능 저하증의 경우 갑상선 호르몬제를 복용하고 갑상선 호르몬이 생산되도록 하여야 합니다.
증상을 보면서 호르몬제 용량을 늘려가야 합니다.
위 두가지 증상이 갑상선 목부음 현상을 가져오는 대표적인 질병이라고 할 수 있습니다.
갑상선에 관련한 증상이 생기는 것은 여러 이유로 나타날 수가 있는데요,
그 중 첫번째 이유는 바로 요오드 결핍 때문으로 알려져있습니다.
요오드 결핍은 갑상선이 붓게 만드는 가장 큰 원인 중 하나인데,.요오드가 부족함으로써 갑상선종이 많이 발생하게 됩니다.
요오드 결핍이 일어나지 않으려면 요오드가 많이 함유된 음식을 먹는 것이 좋으며,
해산물(미역, 다시마와 같은 해조류)과 우유안에 많이 들어 있다고 합니다.
(사실 해조류를 많이 섭취하는 나라라 우리나라는 요오드 결핍을 많이 일어나는 편은 아니라고 합니다.)
두 번 째 가장 큰 원인 중 하나는 흡연입니다.
담배 연기 속에 들어있는 티오시안산염이 요오드 흡수에 방해가 됩니다.
정신병 약인 리튬도 갑상선 기능에 영향을 주며 방사선 치료로 갑상선이 비대해 질 수도 있습니다.
또한 임신, 사춘기, 갱년기의 경우에도 호르몬 자체의 변화로 갑상선 기능에 영향을 미칠 수 있습니다.
갑상선종은 종류가 많아서 구분하여 치료를 하게 됩니다.
그 중 다결절 갑상선종은 가장 흔한 형태로 여러개의 결절이 갑상선에 발견되는것을 말합니다.
미만성 갑상선종은 갑상선이 전체적으로 붓는것을 말합니다.
흉골 하 갑상선종은 갑상선이 흉골 뒤쪽에서 자라나 기도나 주변 혈관을 압박하게 되고 계속 크기가 자랄 경우에는 수술이 필요합니다.

필요에 따라 갑상선 제거 수술을 진행해야 할수도 있는데
갑상선의 크기가 커져 일상생활이 불편하게 느껴지는 경우, 이로인해 호흡곤란이 생기는 경우에는 수술로 제거를 해야합니다.
갑상선 제거 수술은 전체 제거나 부분제거로 진행하게 되는데. 갑상선 제거 수술 후 갑상선 호르몬을 별도로 복용하여야 합니다.
갑상선은 우리가 잘 모르고 지나칠 수 있는 몸의 기관중 하나입니다.
그렇지만 많은 분들이 갑상성 질환을 앓고 있으며 남성보다 여성분들이 더 많이 질환을 앓고 있기에 평상시에 관리를 하는 것이 중요합니다. 평상시에 토마토와 브로콜리, 양배추 등 갑상선에 도움이 되는 음식들을 잘 챙겨드시고, 금연을 하시길 추천드립니다.
갑상선 목부음 혹은 갑상선과 관련되어 위에 나열된 증상들이
발생하면 병원에 바로 내원하여 검사를 하고 전문가과 빠른 상담을 통하며 치료를 하는 것이 중요합니다.
갑상선과 관련된 증상은 다양한 이유로 발생할 뿐 아니라 치료방법도 다양하기로 치료 방법이 중요하기 때문입니다.
쉽게 지나치는 작은 습관과 병이 큰 병이 될 수 있으니 항상 건강 관리에 조심하세요^^

#갑상선목부음 #갑상선목부음증상 #갑상선염증상 #목부음